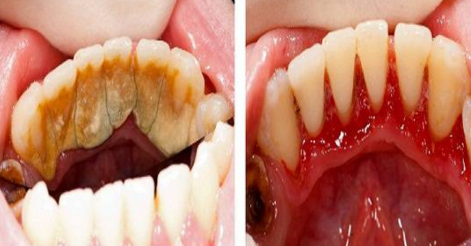
Le tartre est le gisement minéral jaune ou brun sur les dents, ce qui peut conduire à la parodontite surtout si elle augmente et sans retrait, Il peut se déposer sur toute la surface des dents. Le tartre est normalement clair comme il peut être coloré par la consommation de produits comme le thé, le café ou le tabac, et atteindre des teintes de brun foncé. On peut observer ce genre de colorations au niveau des caries.
Votre dentiste est la première solution si vous souhaitez éliminer le tartre dentaire, mais une autre solution consiste à enlever le tartre chez vous.
Il se forme plus ou moins vite selon les individus, en fonction de différents facteurs :
Qualité du brossage ; mieux la plaque dentaire est éliminée, moins le tartre pourra se former ;
Salive : selon les variations de ph, le pouvoir tampon…
Facteurs exogène : le tabac ou certains médicaments induisent une diminution ou une suppression du flux salivaire et donc un risque accru de développement de la plaque bactérienne et donc du tartre.
Pour enlever l’accumulation de tartre à la maison, il y a plusieurs options de traitement:
Bicarbonate de soude et sel : L’outil le plus efficace pour se débarrasser de tartre est le bicarbonate de soude. Mélangez une cuillère à soupe de bicarbonate de soude avec ½ cuillère à café de sel dans une tasse. Ensuite, rincez la brosse à dents avec de l’eau chaude et la mettre dans le mélange puis brossez-vous les dents et crache. L’ensemble du processus devrait durer cinq minutes
Brosse à dents : une brosse à dents souple et un dentifrice sans fluor et il est conseillé de compléter le brossage par le passage du fil dentaire
Fil dentaire : est fortement recommandé pour éliminer la plaque entre les dents, le tartre se développant facilement dans les espaces exigus.
La quantité de tartre s’accumule si vous ne la retirez pas, elle peut provoquer la parodontite.
Voici une autre méthode et vous aurez besoin de:
–Bicarbonate de soude
–Cure-dent
–Sel
–Peroxyde d’hydrogène
–Eau
–Brosse à dents
–Une tasse
–Bain de bouche antiseptique
L’outil le plus commun et le plus efficace pour éliminer le tartre dentaire est le bicarbonate de soude.
http://www.dentaltools.fr/category-47-b0-Blanchiment-dentaire-machine.html

